Bloggers
Siu Bo is an over 30 year-old golden Coin Turtle ( Cuora Trifasciata ) living with an old lady. The old lady found Siu Bo’s appetite had dropped for a month and finally became loss of appetite and inactive. She brought her to us, and we found Siu Bo was severely dehydrated and weak.

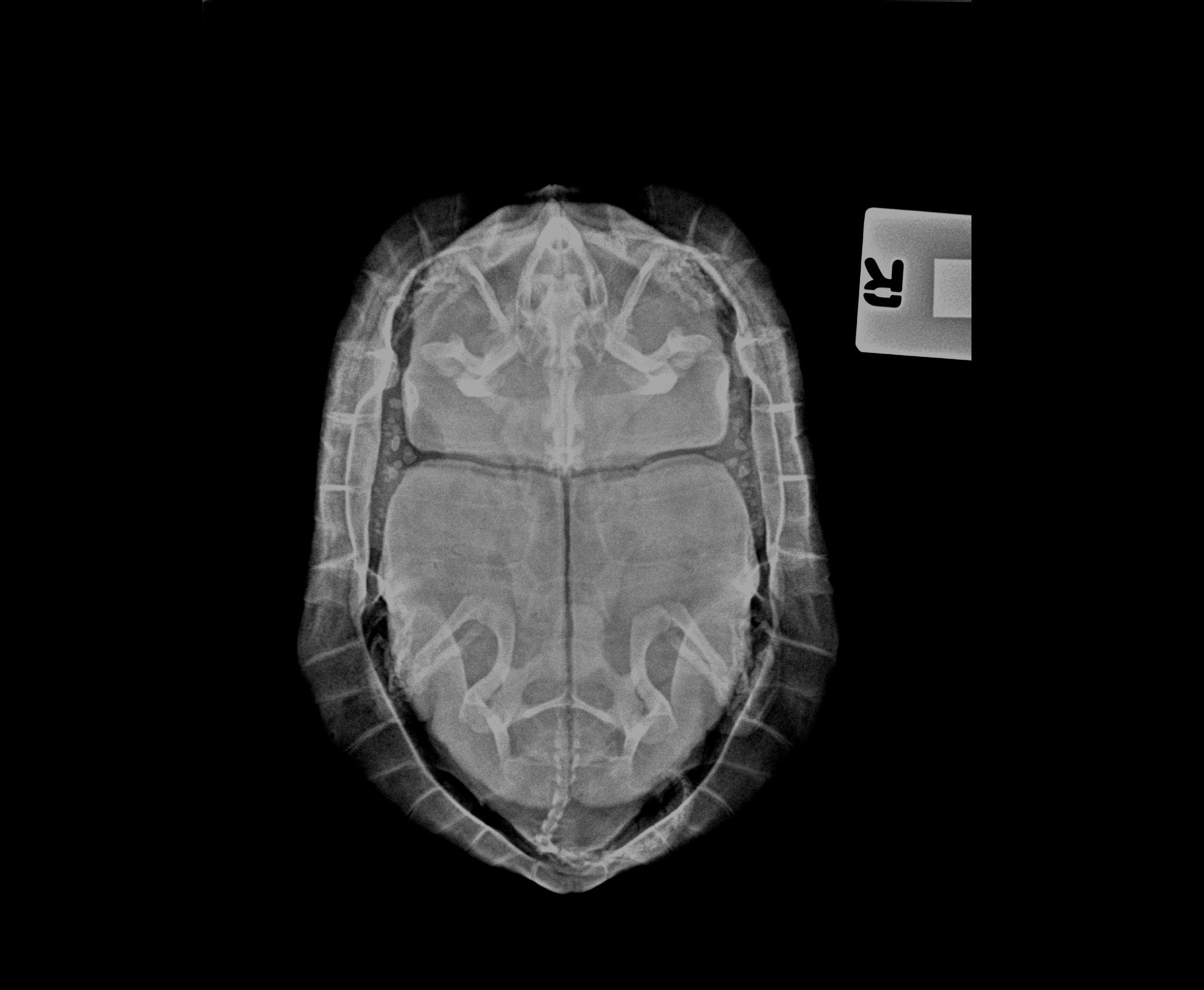
There was a high density oval object inside the caudal region of the coelomic cavity. It could be obstructed in the intestines, urinary bladder or reproductive tracts resulting in loss of appetite.

Siu Bo bear the risk of surgical option if failed to respond the course of medication.

Fortunately, after the intensive care and medical therapy, this oval object was able to pass out. It was a calcified urinary bladder stone. Siu Bo continued the second course of medication and recovered gradually. Siu Bo is now active and eating well again. It’s so blessing.

A correct and good husbandry is very important for turtle health. Please refer to our terrapin husbandry article on the website: http://www.j-vet.com/?id=218 and http://www.j-vet.com/?id=219
Any enquiry about your turtle? Please refer to
